جوز الهند تُخلصكم من تسوس الأسنان

الإثنين، 21 نوفمبر 2016 04:00 ص
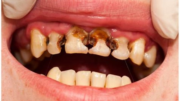
جوز الهند  تُخلصكم من تسوس الأسنان
صورة أرشيفية

نشر موقع lifeadvancer.com نصائح لعلاج تسوس الأسنان بالاعتماد على مكونات منزلية بسيطة في وقت قصير نستعرض إحدى هذه الطرق ببساطة.

*المكونات الرئيسية للخلطة:

¼ ملعقة صغيرة من زيت جوز الهند.

¼ ملعقة صغيرة من الكركم.

قطرتين من زيت القرنفل.

قليل من الملح.

*الطريقة:

تخلط جميع المكونات في وعاء صغير بحجم فنجان أو أقل ثم يوضع المزيج تطبيق على فرشاة الأسنان الخاصة بك ويتم تمرير فرشاة الأسنان بلطف.

تكرر العملية في المناطق التي تحوي تجويفات تسوس بقدر أعمق قدر المستطاع، ثم تركها عليها 5 دقائق، لتعود لتمرير الفرشاة عليها من جديد ثم شطف الأسنان بماء فاتر.

كما يمكن تنفيذ نفس الطريقة مع خليط آخر يعتمد على صودا الخبز، عصير ليمون، مسحوق النعناع المجفف وزيت النعناع الأساسي.

*المكونات:

قطرة من زيت النعناع الأساسي.

½ ملعقة صغيرة من صودا الخبز.

2 قطرات من عصير الليمون.

¼ ملعقة صغيرة من مسحوق النعناع المجفف (اختياري).

 

لا توجد تعليقات على الخبر
اضف تعليق